Loading...
Voltar
Exames

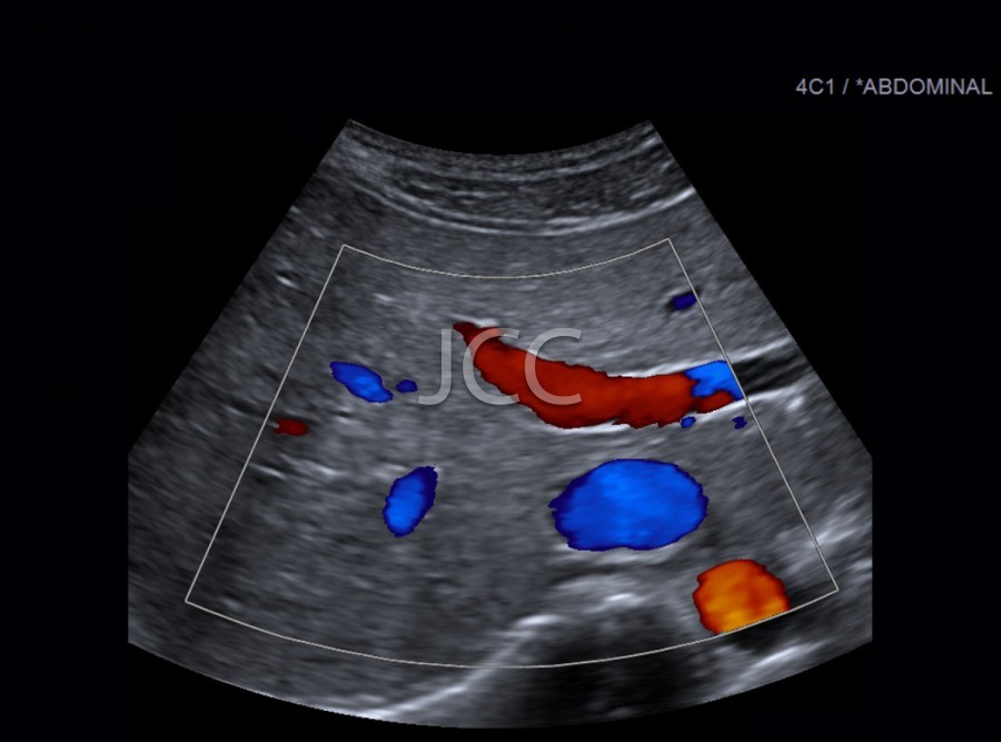
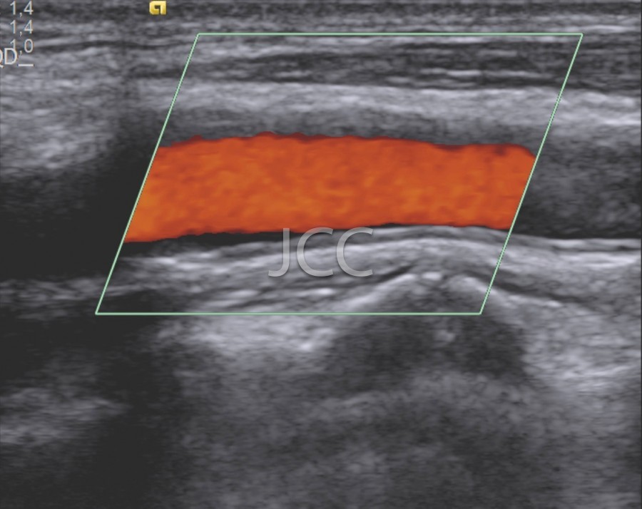
Ecografia - Ecografia Vascular - Doppler

A Ecografia constitui um método mais acessível permitindo de modo simples e rápido a avaliação dos órgãos do corpo humano incluindo o fígado, vias biliares, vesícula, pâncreas, rins, bexiga e próstata, bem como órgãos de menores dimensões como a tiróide, parótidas e estruturas musculares.

Constitui uma óptima técnica para guiar a realização de biópsia. Quando associada ao Doppler permite o estudo das estruturas vasculares arteriais e venosas de modo dinâmico.

Cuidados a ter

  • Este exame não carece de qualquer preparação prévia.